Rev. Nefrol. Dial. Traspl.2025; 45(4):222-223

 

Vena Cava

 

Imágenes en Nefrología

 

ENDOCARDITIS INFECCIOSA EN HEMODIÁLISIS

 

LEFT SUPERIOR VENA CAVA

 

Segovia F. 1, ORCID: 0009-0008-7912-0086 - Mail: dr.fernandosegovia@icloud.com

Arce J.M.1, Andrade D. 1, Acosta-Duré R. 1, Lavorato M. 1, Abuchanab M. 1, De Rosa M. 1

 

1) Sección Hemodiálisis División Nefrología Hospital de Clínicas José de San Martín - Universidad de Buenos Aires

 

Fecha entregado: 18 de agosto de 2025

Fecha corregido: 28 de agosto de 2025

Fecha aceptado: 19 de septiembre de 2025

 

 

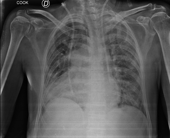
Presentamos un paciente con hiperamoniemia, que durante el estudio de la causa se diagnosticó agenesia de la vena porta, con anastomosis de la vena mesentérica a la vena renal izquierda. Ante el cuadro clínico y humoral, con compromiso neurológico, se decidió la colocación de un catéter doble lumen y se inició tratamiento mediante hemodiálisis convencional. Se colocó catéter por vía yugular izquierda presentando ubicación atípica y con mala cinética por lo que debió colocarse otro catéter doble lumen en vena subclavia derecha, ubicándose en posición convencional. La radiografía de control muestra la ubicación de ambos catéteres colocados.

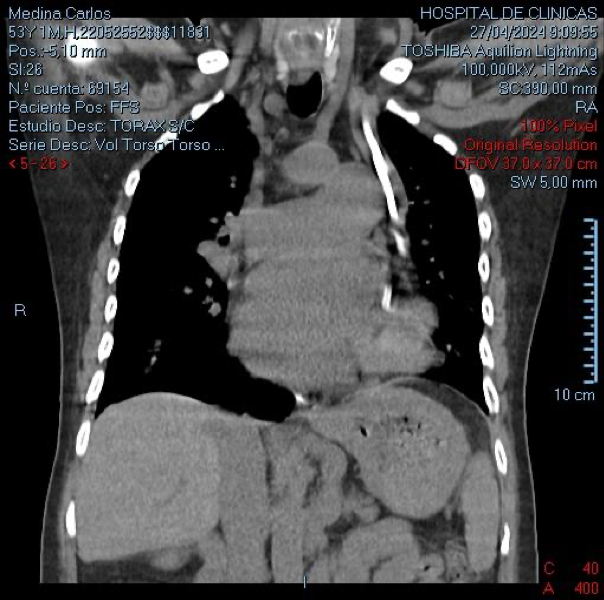
Además de la anomalía vascular de la vena porta y de las cavidades cardíacas que presentes en este paciente, se detectó una anomalía vascular en las venas centrales. Se debe tener presente la posibilidad de que exista esta asociación de variantes anatómicas cuando debemos abordar vías centrales, en nuestro caso con catéter de doble lumen para tratamiento dialítico. El tip del catéter izquierdo se ubicó a nivel de seno coronario, donde el flujo sanguíneo resultó deficiente para efectuar el tratamiento dialítico. Se adjunta gráfico con esquema de las alteraciones más frecuentes de la vena cava superior doble.(1)

 

La TAC mostró una vena cava superior izquierda y otra derecha

 

 

 

 

 

 

 

BIBLIOGRAFÍA

1) Muñoz Castellanos L, Kuri Nivon M, Zapata Carreón RR, Salinas Sánchez HC. Vena cava superior izquierda y anomalías con que se asocia. Arch. Cardiol. Mex. Vol 73 no.3 Ciudad de México jul./sep. 2003.