Rev Nefrol Dial Traspl. jul.-sept. 2020; 40(3):268-72.

 

Arterias renales supernumerarias, disección aórtica e IRA

 

IMÁGENES EN NEFROLOGÍA

PDF

 

Variación anatómica de arteria renal izquierda supernumeraria en contexto de disección aórtica tipo B con compromiso renal derecho. A propósito de un caso

Anatomical variation of the supernumerary left renal artery in the context of type B aortic dissection with right renal involvement. Report of a case

María Marina Papaginovic Leiva ORCID , Edgardo Roberto Mojico, María Eugenia Nicolini, Marcelo Horacio Serrano, Ricardo Duilio Martínez

Grupo de Trabajo Hipertensión Arterial y Daño Vascular, Sociedad Argentina de Nefrología, Buenos Aires, Argentina mmplderodriguez@gmail.com

 

Recibido en su forma original: 29 de junio de 2020
Aceptación final: 3 de julio de 2020

Cómo citar este artículo (How to cite this article): María Marina Papaginovic Leiva MP, Mojico ER, Nicolini ME, Serrano MH, Martínez RD. Variación anatómica de arteria renal izquierda supernumeraria en contexto de disección aórtica tipo B con compromiso renal derecho. A propósito de un caso. Rev Nefrol Dial Traspl. 2020; 40(3):268-72.

 

 

RESUMEN

Se presenta el caso de un paciente masculino con diagnóstico de disección aórtica tipo B con compromiso vascular renal derecho, que evoluciona con injuria renal aguda sin requerimiento de terapia de soporte renal.
En el estudio tomográfico se constató la presencia de 3 arterias renales izquierdas y un riñón derecho hipotrófico secundario a litiasis, comprometido por flap de disección aórtica.

 

INTRODUCCIÓN

En la mayoría de la población se encuentra una arteria renal a cada lado, que se originan en la aorta abdominal, las cuales se dividen en 2 o más ramas al ingreso del hilio renal. Las variaciones anatómicas de las arterias renales son comunes tanto en su número, como en su origen y su trayecto.(1)

Las arterias renales accesorias son una variante frecuente en la población general 820-30%) y se presentan mayormente en forma unilateral, solo aprox. en un 10% se presenta en forma bilateral. Existe el término de arteria extra renal, que puede subclasificarse en:

Arteria aberrante renal: son las arterias que irrigan al polo superior o inferior renal.
Arteria accesoria renal: son las que irrigan el hilio renal.

Las arterias accesorias pueden presentarse en forma bilateral en un 10-15% de los casos y en forma unilateral, naciendo desde la aorta abdominal en el 70%. Mayormente irrigan al polo renal inferior.

La presencia de 2 arterias renales se encuentra, aproximadamente, en un rango del 15 al 20%, y en raras ocasiones se presenta en forma triple (<2.5 %) o cuádruple (<1%).(2-5) En la disección aórtica se produce la separación de la pared de las capas de la aorta, formándose una falsa luz que discurre paralelamente a la luz normal y se clasifica:

Tipo A: afecta la aorta ascendente; puede interesar también el cayado y la aorta descendente.
Tipo B: se circunscribe a la aorta descendente. (Imagen 1)

 

Figura 1. Clasificación de disección aórtica. Stanford tipo A: compromiso de la aorta ascendente; tipo B: compromiso de la aorta descendente. De Bakey tipo I: compromiso de toda la aorta; tipo II: limitada a la aorta ascendente; tipo III: limitada a la aorta descendente(5)

 

CASO CLÍNICO

Paciente masculino de 47 años, con antecedentes sedentarismo, ex tabaquista, hipertensión arterial (HTA) en tratamiento farmacológico, litiasis renal bilateral, riñón izquierdo con dilatación leve/ moderada y riñón derecho con disminución de tamaño, litotricia renal derecha, angina inestable de alto riesgo (AIAR) sin lesión de vasos coronarios, un mes antes del evento.

Ingresa a Unidad Coronaria por dolor abdominal lacerante, HTA e injuria renal aguda (IRA). Ante sospecha de probable disección aórtica se realizó:

Angiotomografía: se observó flap de disección que comprometía a la aorta en su porción tóraco abdominal hacia distal en el lado derecho. Asimetría renal con retardo en la concentración del contraste en riñón derecho. Riñón izquierdo concentraba y excretaba la sustancia de contraste. (Imagen 1)

 

Imagen 1. Angio RMN con presencia de disección aórtica tipo 2, ingreso de internación

 

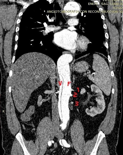
Aortograma: se constató disección aórtica tipo B con flap de disección a partir de la arteria subclavia izquierda que provocó exclusión de la arteria renal e ilíaca derechas, extendiéndose el flap incluso hacia la arteria ilíaca izquierda. Se observó la presencia de 3 arterias renales izquierdas que nacían de la aorta abdominal. (Imagen 2)

 

Imagen 2. Control posterior a colocación de endoprótesis torácica, donde se visualiza la irrigación renal izquierda e hipoperfusión renal derecha

 

El paciente persistió hipertenso junto con progresión de su injuria renal, con buena respuesta al tratamiento médico y farmacológico, sin requerimiento de tratamiento sustitutivo renal durante toda su internación (creatinina máxima 2.9 mg/dl).

Se decidió colocación de endoprótesis torácica RELAY de 32 mm de diámetro por 155 mm de longitud por el Servicio de Hemodinamia y Cirugía Vascular. Presentó como intercurrencia infección tracto urinario por E. Coli tratada con imipenem ajustándose dosis a la función renal. El paciente evolucionó favorablemente con descenso de los valores de su función renal (creatinina al alta 1.55 mg/dl).

Durante los controles posteriores se realizaron radiorrenograma y centellograma renal que evidenciaron un riñón derecho disminuido de tamaño (29%) y un riñón izquierdo sin particularidades (71%). En la actualidad, 9 años después del evento, presenta función renal estable: urea 0.28 g/l creatinina 1mg/dl, clearance creatinina 80 ml/min.

En la angiotomografía se observa presencia de disección de aorta toracoabdominal con endoprótesis permeable en la luz verdadera, que va desde el cayado hasta tercio proximal de la aorta torácica. La disección se extiende hasta la bifurcación aortoilíaca. Se identifican tres arterias renales izquierdas, las cuales, junto con la arteria ilíaca izquierda, nacen de la luz falsa de la disección (Imagen 3). En la actualidad, nueve años después del evento, presenta función renal estable: urea 0,28 g/l creatinina, 1mg/dl, clearence creatinina 80 ml/min.

 

Imagen 3. Luz verdadera y nacimiento de las 3 arterias desde luz falsa de la disección

 

 

CONCLUSIÓN

La presencia de arterias renales accesorias suele ser frecuente y en más del 70% de los casos es unilateral o doble. La disposición en forma triple, como en el caso presentado, se observa en menos del 2,5% de la población. (Imagen 4)

En nuestro paciente, la función renal se mantiene dentro de los valores normales a expensas del sistema de irrigación triple del riñón izquierdo que nace de la luz falsa de la disección, mientras que el riñón derecho es hipotrófico debido a los antecedentes de litiasis y litotricia, y por la arteria renal derecha excluida por la disección.

 

Imagen 4. Reconstrucción 3 D donde se visualizan las arterias renales accesorias izquierdas y su origen aórtico, junto con la hipoperfusión renal derecha

 

Conflicto of intereses: Los autores declaran no poseer ningún interés comercial o asociativo que presente un conflicto de intereses con el trabajo presentado.

 

BIBLIOGRAFÍA

1) Testut L, Latarjet A. Tratado de anatomía humana. Barcelona: Salvat, 1969. 1198 p.

2) Ferreira Arquez H. Variaciones anatómicas bilaterales de vasos renales y testiculares. Rev CES Med. 2014;28(2):273-81.

3) Animaw Z, Ewnete B. Left side variant additional renal artery. Int J Anat Var. 2017;10(1):6-7.

4) Olave E, Henriquez J, Puelma AF, Cruzat C, Soto OA. Arterias renales múltiples. Int J Morphol. 2007;25(4):927-30.

5) Sociedad Argentina de Cardiología. Consenso de patología de la aorta. Rev Argent Cardiol. 2004;72(5):387-401.

6) Erbel R, Alfonso F, Boileau C, Dirsch O, Eber B, Haverich A, et al. Diagnosis and management of aortic dissection. Eur Heart J. 2001;22(18):1642-81. doi: 10.1053/euhj.2001.2782.

 

 

Esta obra está bajo una Licencia de Creative Commons Reconocimiento-No-Comercial 4.0 Internacional. Reconocimiento - Permite copiar, distribuir y comunicar públicamente la obra. A cambio se debe reconocer y citar al autor original. No comercial - Esta obra no puede ser utilizada con finalidades comerciales, a menos que se obtenga el permiso.


Revista de Nefrología, Diálisis y Trasplante
ISSN 2346-8548 (electrónico) - ISSN 0326-3428 (impreso)