CASUÍSTICA
Paciente trasplantado renal con enfermedad linfoproliferativa post-trasplante (PTLD) tardía y glomerulopatía colapsante del injerto renal
Transplanted patient with late post-transplant linfoproliferative disease (PTLD) and graft collapsing glomerulopathy
Luciano Leguizamón1, Pablo Barbero1, Lilian Martinez1, Gerardo Gutiérrez Avilés2, Hernán Sarzuri Marca2, Fernando Segovia2, Laura Idiarte1
1) Programa de Trasplante Renal, Hospital de Clínicas José de San Martín, Universidad de Buenos Aires (UBA), Buenos Aires, Argentina
2) División Nefrología, Hospital de Clínicas José de San Martín, Universidad de Buenos Aires (UBA), Buenos Aires, Argentina (dr.fernandosegovia@gmail.com)
Recibido en su forma original: 29 de septiembre de 2015
En su forma corregida: 9 de noviembre de 2015
Aceptación final: 29 de septiembre 2016
INTRODUCCIÓN
El desorden linfoproliferativo post-trasplante (post-transplant lymphoproliferative disease o PTLD) en un tipo de linfoma maligno, el cual es una complicación con una mortalidad de entre 1.7%-3.5% de los trasplantados receptores de un órgano sólido.
La glomerulopatía colapsante (GC) es una variante de la glomeruloesclerosis focal y segmentaria (GFyS), caracterizada histológicamente por colapso del penacho capilar glomerular prominente con hipertrofia e hiperplasia de los podocitos y daño túbulo intersticial. La presentación clínica se caracteriza por proteinuria masiva y falla renal rápidamente progresiva.
En nuestro caso se trata de un paciente trasplantado renal que presentó tardíamente una PTLD, e inmediatamente finalizado el tratamiento quimioterápico, desarrolló una glomerulopatía colapsante de novo.
PRESENTACIÓN DEL CASO
Paciente varón de 28 años de edad que comenzó a los 11 años con poliuria, polidipsia y pérdida de peso interpretándose el cuadro en ese momento como Diabetes Insípida. A los 12 años es derivado a hospital pediátrico por retardo pondo-estatural asociado a enfermedad renal (Creatinina sérica 2.2 mg/dl, Clearance de Creatinina 48 ml/minuto), presentando una talla de 132 cm y peso de 27 kg (por debajo del percentilo 3). La ecografía renal evidenciaba riñones hiperecogénicos sin dilatación de la vía urinaria. Se planteó en dicho nosocomio la posibilidad de presentar una hipodisplasia renal vs. nefronoptisis. La cistouretrografía normal descarto reflujo vesicoureteral.
Continuó con tratamiento médico conservador hasta los 17 años, ya en estadio IV de ERC se confecciona acceso vascular (Fístula Arterio-Venosa autóloga) y realiza hemodiálisis durante siete meses. A los 18 años se trasplanta con Donante vivo relacionado (DVR) de 40 años (madre).
Donante y receptor presentaban serología IgG para Citomegalovirus (CMV) positiva e IgG para Virus de Epstein-Barr (EBV) positiva. Se realizó inducción con Ciclosporina A (CsA), Metilprednisolona y Micofenolato sódico.
Al 4° mes post-trasplante intercurre con deterioro de la función renal. La biopsia del injerto mostró rechazo “borderline” definido como cambios limítrofes, sin arteritis intimal pero con focos de tubulitis leve con mínima inflamación intersticial. Evolucionó con buena respuesta a pulsos de Metilprednisolona.
Sigue posteriormente en seguimiento por Trasplante de adultos. Presentaba en ese momento una creatinina sérica de 1.4gr/dl (Clearance de creatinina 67.4 ml/minuto). Se realizaron serologías de control todas negativas excepto CMV y EBV (1/64). Continuó con función renal estable sin intercurrencias relevantes.
Permaneció con el mismo esquema inmunosupresor, con reducción paulatina de dosis de esteroides y manteniendo niveles de CsA sérica adecuados, tanto previo a la dosis matinal como a las 2 horas de dicha toma (C0 entre 50-100 ng/dl y C2 entre 400-600 ng/dl) y dosis de Micofenolato sódico de 540 mg cada 12 horas.
A los 24 años de edad y 6 años del trasplante, por elevación de cifras de creatinina a 2,47 mg/dl y proteinuria de 0.5 gr/día, se realiza biopsia renal (PBR) que mostró rechazo borderline + arteriolopatía hialina vinculable a toxicidad por ciclosporina.
Se indica Prednisona 1mg/kg durante 15 días y posterior descenso (tapering), con creatinina de control al mes de la biopsia de 1.8 mg/dl. Continuó con CsA en dosis diarias de 250 mg con niveles estables.
Enfermedad hematológica
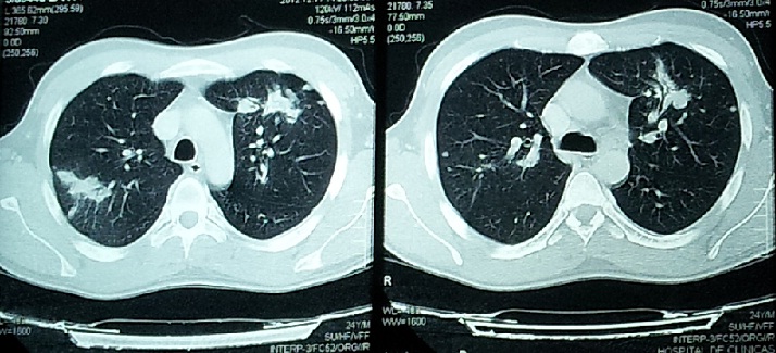
Un año después (a los 25 años) consulta por dolor dorso-lumbar de varios meses de evolución, asociado a hiporexia y pérdida de peso. Se decide su internación para estudio, con hallazgo en Rx de tórax de imágenes nodulares múltiples en ambos campos pulmonares, las cuales se analizaron luego con TAC de tórax. (Figura 1)
Figura 1. Tomografía computada de tórax: múltiples opacidades focales de bordes irregulares de afectación peribroncovascular de aspecto pseudocavitado
Se realiza video-toracoscopia con toma de biopsia de nódulo en lóbulo medio, cuya anatomía patológica informa proliferación polimorfa de células linfoides, algunas de gran tamaño, tipo stermbergoides. Esta proliferación ocupa el intersticio pulmonar. En las determinaciones inmunohistoquímicas (IH) se objetivó células stermbergoides positivas de manera focal con CD45, CD20 y CD30. Marcación para CD3 y CD15 negativas.
Los hallazgos correspondían a un desorden linfoproliferativo asociado a inmunodeficiencia, de tipo polimorfa (P-PTLD).
Figura 2. Biopsia de medula ósea (hematoxilina-eosina): proliferación polimorfa de células linfoides, algunas de gran tamaño, tipo stermbergoides
Además se realiza una Punción Aspirativa de Médula Ósea (PAMO) con medulograma, que informó médula ósea con celularidad aumentada de tipo polimórfica, sin infiltración de células atípicas, que impresiona reactiva.
La Tomografía de abdomen evidencia adenomegalias en el retroperitoneo y en la cadena iliaca del lado derecho, sin otros hallazgos relevantes.
Se decide cambio de esquema inmunosupresor a Rapamicina, con suspensión gradual de Micofenolato y CsA.
Se inicia Rituximab (anticuerpo monoclonal Anti CD20) 600 mg IV, 6 dosis semanales, con buena respuesta clínica e imagenológica.
Post-quimioterapia presentaba creatinina 1.87 mg/dl y proteinuria de 0.63 gr/24 horas.
El PET SCAN (escaneo corporal con tomografía por emisión de positrones) de control 9 meses después mostró imágenes con hipercaptación a nivel de columna dorso-lumbar, huesos iliacos, sacros y costales, y un ganglio a nivel para-aórtico lumbar.
La biopsia vertebral realizada posteriormente fue compatible con PTLD variante tipo Hodgkin con CD20 negativo (cambio de las características IH de las células neoplásicas).
Inicia esquema ABVD (Adriamicina, Bleomicina, Vinblastina y Dacarbazina) seis ciclos mensuales.
Buena tolerancia a la medicación; presentó como intercurrencias anemia sin requerimientos transfusionales y neutropenia que requirió la administración de Factores Estimulantes de Colonias. La creatinina sérica posterior al esquema ABVD era de 2.1 mg/dl).
Los ajustes de la dosis de Rapamicina se efectuaron acordes al recuento leucocitario y la función renal, siendo el nivel plasmático target entre 4-6 ug/ml.
El nuevo control con PET –SCAN, luego de los ciclos del esquema ABVD, fue negativo para hipercaptación.
Glomerulopatía en el injerto
Dos meses después evoluciona con deterioro de función renal (creatinina 3.3 mg/dl), síndrome nefrótico (proteinuria de 11 gr/día e hipoalbuminemia) y hematuria dismórfica.
Se decide inicio de pulsos de Metilprednisolona (1.500 mg en total) con posterior tapering y reinicio de Micofenolato, 1gr/día. Se realizó previamente punción biopsia del injerto renal.
El resultado de la anatomía patológica renal informó M.O.: Glomerulopatía colapsante. Rechazo borderline. Necrosis tubular aguda. Hialinosis arteriolar severa. Inmunofluorescencia: C3 e IgM ++ en un glomérulo con esclerosis y paredes arteriolares. C1q, C4d, IgG, IgA y fibrinogeno negativos.
Evoluciona con discreta mejoría de la función renal (creatinina 2.9 mg/dl) y reducción de la proteinuria a 5 gr/24 hs.
A los dos meses del diagnóstico de glomerulopatía colapsante deja de concurrir a las consultas. Cinco meses después ingresa a guardia con Síndrome urémico, por lo que se inicia hemodiálisis de urgencia a través de FAV autóloga en miembro superior izquierdo.
Figura 3. Biopsia renal (impregnación argéntica). Glomeruloesclerosis focal y segmentaria, variante colapsante
DISCUSIÓN
El desorden linfoproliferativo post-trasplante en un tipo de linfoma maligno, el cual es una complicación con mortalidad de entre 1.7%-3.5% de los trasplantados receptores de un órgano sólido. Es la complicación maligna más frecuente en trasplante renal, después del cáncer de piel no melanótico y el cáncer de cérvix in situ.
Es más frecuente en el primer año post-trasplante (224/100.000 pacientes), siendo en el segundo año menos frecuente (54/100.000 pacientes) y 31/100.000 pacientes al sexto años post-trasplante. La edad media en adultos es de 46 años.
No es de sorprender que esta patología se asocia con malos resultados para el paciente y el injerto, debidos en gran parte a las fatales consecuencias de la neoplasia.
Los factores de riesgo para el desarrollo de PTLD incluyen edad avanzada, raza blanca, inducción con anticuerpos que deplecionan las células T, y la seronegatividad para el citomegalovirus (CMV) al momento del transplante.
PTLD se asocia además con reactivación serológica o clínica de infección por virus de Epstein-Barr (EBV), que gatilla una proliferación descontrolada de linfocitos B. Los pacientes EBV seronegativos, tienen 10 a 76 veces más probabilidad de desarrollar PTLD (sobre todo con donantes EBV seropositivos) que los seropositivos.
El virus Epstein Barr está ampliamente distribuido, con aproximadamente un 95 % de la población adulta con evidencia serológica de una exposición previa, y por lo tanto con la consiguiente latencia del virus y la posibilidad de una reactivación. En los niños, aproximadamente la mitad tienen serología negativa para EBV al momento del trasplante, y por lo tanto son susceptibles a una primoinfección a través de un injerto proveniente de un donante seropositivo, o inclusive por exposición ambiental o transfusión sanguínea.
Histológicamente, PTLD comprende un grupo heterogéneo de desórdenes que abarcan desde proliferación policlonal inducida por el virus de Epstein-Barr hasta proliferaciones monomórficas sumamente agresivas. Un mismo paciente puede presentar distintos tipos de PTLD, incluso estirpes distintas en el mismo o en diferentes órganos, simultánea o sucesivamente (como ocurrió en el paciente presentado).
La clasificación de la Organización Mundial de la Salud (OMS), del año 2008, identifica cuatro tipos histológicos básicos: lesiones tempranas, PTLD polimórfica, PTLD monomórfica y un tipo similar al Linfoma de Hodgkin clásico. Las características de las mismas son: 1) Lesiones tempranas: la arquitectura del tejido involucrado en la hiperplasia plasmática generalmente se mantiene y los senos nodales preservados. A menudo se observan folículos reactivos en la periferia de los nodos linfoideos. El gran número de células plasmáticas policlonales pueden encontrarse como células aisladas, pequeños grupos o grandes agrupaciones junto con linfocitos y ocasionales inmunoblastos. El marco microscópico de la PTLD símil mononucleosis se presenta típicamente con la expansión de la zona T con numerosos linfoblastos y células plasmáticas. La atipía citológica en ambos tipos de lesiones tempranas es mínima. La PTLD temprana habitualmente se diagnostica en niños, adultos jóvenes y paciente con infección primaria por EBV; 2) P-PTLD (PTLD Polimórfica): la arquitectura de los tejidos involucrados se ve afectada por un infiltrado consistente en varios tipos celulares (célula linfoideas pequeñas y medianas, célula símil centrocitos, células plasmáticas e inmunoblastos). Pueden observarse células linfoideas atípicas y células tipo Reed-Sternberg. Es el tipo más común en niños, usualmente asociado a infección primaria por EBV; 3) M-PTLD (PTLD Monomórfica): incluye todas las neoplasias T y la mayoría de los linfomas B; 4) Linfoma Hodgkin clásico: se diagnostica de acuerdo a los mismos criterios que en los pacientes inmunocompetentes. El tipo más frecuente es el de celularidad mixta. Se observan las clásicas células de Reed-Sternberg en un trasfondo reactivo inflamatorio (linfocitos pequeños, histiocitos, células plasmáticas, eosinófilos). Las células diagnósticas son típicamente CD30 y CD15 positivas y el marcador CD20 variable.
Las lesiones tempranas y la PTLD polimórfica son específicas de los pacientes trasplantados, mientras que los otros tipos también pueden diagnosticarse en pacientes inmunocompetentes. Más del 85 % de las PTLD derivan de células B, un 14 % de células T y un 1% de células natural killers.
En cualquiera de los casos, la proliferación de células alteradas se ve facilitada en los pacientes trasplantados porque los mecanismos de vigilancia inmunológica están alterados y disminuidos a causa de los fármacos inmunosupresores. En cierto grado, los trastornos linfoproliferativos luego del transplante serían una consecuencia inevitable de una efectiva terapia inmunosupresora.
Por lo tanto, como veremos, la reducción de la medicación inmunosupresora de mantenimiento es ampliamente considerada y aceptada como el primer escalón terapéutico en la PTLD, con el objetivo de permitir una reconstitución parcial de la inmunidad antitumoral.
Además de reducción o directamente suspensión de la terapia inmunosupresora, inclusive en algunos casos puede haber una regresión completa de la neoplasia con esta medida. Otras modalidades de tratamiento complementarias a las modificaciones en la inmunosupresión, son el anticuerpo monoclonal Rituximab, la quimioterapia e inclusive ocasionalmente la radioterapia y la terapia antiviral. En esta última modalidad se ha usado aciclovir, ganciclovir o valganciclovir, no obstante no se comprobó su eficacia en estudios prospectivos probablemente porque el virus se encuentra en fase latente en las células infectadas, período en el cual los antivirales no tienen efecto.
Las PTLD tempranas se ven con mayor frecuencia en las poblaciones pediátricas, se asocian con EBV con mayor compromiso del injerto dado que se desarrollan más comúnmente a partir de linfocitos del donante. Suelen tener buena respuesta a la disminución del tratamiento inmunosupresor y por ende mejor pronóstico. En cambio, las PTLD tardías se asemejan a los linfomas clásicos, se desarrollan a partir de linfocitos del receptor, son raramente inducidos por EBV, suelen ser diseminados (extranodales y cerebrales) y tienen peor pronóstico.
El factor de riesgo más importante para el desarrollo de PTLD es el uso de tratamiento inmunosupresor potente, sobretodo OKT3 y Timoglobulina. También se asoció mayor incidencia con cuádruple esquema, la asociación de CsA, Azatioprina, Metilprednisona, Tacrolimus y anticuerpos monoclonales.
Parecería existir menos riesgo con el uso de inmunosupresores tipo mTOR (Sirolimus), por lo que en general los receptores de trasplante renal que desarrollan PTLD son reconvertidos a Rapamicina, ya que hay trabajos que sugieren fuertemente que la misma es una droga segura de administrar en pacientes trasplantados renales que desarrollan un desorden linfoproliferativo.
La presentación clínica es muy variable, fiebre en un 50% de los casos, linfadenopatía en el 30%, cuadro de emergencia en el 15% (PTLD fulminante, perforación intestinal, etc.). Habitualmente se observa un síndrome constitucional que puede acompañarse de diferentes síntomas de acuerdo al área afectada: odinofagia, disfagia, congestión de senos paranasales, dolor abdominal, náuseas, vómitos, diarrea, tos y disnea, cefalea, convulsiones, déficit neurológico, etc. Puede verse asimismo: adenopatías, hepato-esplenomegalia, nódulos subcutáneos, reacción peritoneal (asociado a perforación intestinal, intususcepción), hemorragia digestiva, compromiso en vías aéreas superiores (hipertrofia adenoidea, amigdalitis o adenoiditis, úlceras en paladar), signos de foco neurológico, etc.
Se recomienda en el estudio inicial la realización de una TAC de cuello, torax y abdomen (incluyendo la región orofaríngea y los senos paranasales por su frecuente compromiso). Si se sospecha afectación del Sistema Nervioso Central sin lesiones a otros niveles, debe realizarse una TAC o RMN cerebral. En el diagnóstico inicial, la PET-TAC contribuye a identificar las lesiones con mayor actividad metabólica lo cual permite orientar las biopsias. Además, diversos estudios han señalado su utilidad para estadificación y seguimiento de los pacientes.
Con respecto al monitoreo de DNA de EBV plasmático es una medida discutida. Actualmente no está indicado como herramienta diagnóstica, aunque podría jugar algún rol orientativo en caso de ser positivo.
En el caso de nuestro paciente trasplantado, tanto donante como receptor se reconocieron con serología EBV positivos previo al transplante. La inmunosupresión que tuvo durante ocho años fue triple esquema (CsA, Micofenolato, esteroides). La característica distintiva en este caso es la presentación tan tardía de la enfermedad linfoproliferativa.
La glomerulopatía colapsante (GC) es una variante de la glomeruloesclerosis focal y segmentaria (GFyS), caracterizada histológicamente por colapso del penacho capilar glomerular prominente con hipertrofia e hiperplasia de los podocitos y daño túbulo intersticial. La presentación clínica se caracteriza por proteinuria masiva y falla renal rápidamente progresiva.
La GC constituye hasta alrededor del 3 % de todas las biopsias de injerto renal en distintas series. La patogenia de la misma en injertos renales, especialmente la variante de novo, podría estar relacionada con isquemia renal, ya sea por toxicidad por ciclosporina, microangiopatía trombótica y/o arterioloesclerosis.
Si bien la proteinuria de rango nefrótico esta descripta en hasta el 30% de los trasplantados en los que se realiza el switch de anticalcineurínicos a Sirolimus, como en este caso, esto ocurre habitualmente a los pocos meses de dicho switch debido al desarrollo de una gloméruloesclerosis focal y segmentaria. La histología reportada en la literatura ha demostrado evidencia de daño en los podocitos (ej; pérdida de la expresión de sinaptopodina que evoluciona a un podocito de características fenotípicas similares a las fetales en estos pacientes), lo que sugiere un mecanismo glomerular implicado en la génesis de la proteinuria nefrótica. En dichos casos, la misma remitió después de la discontinuación del Sirolimus (aunque no hay trabajos con biopsias de control que demuestren si los cambios podocíticos remitieron luego de la suspensión de la droga).
En nuestro paciente la aparición de la proteinuria masiva brusca (con rápido ascenso) ocurrió luego del año y medio del switch a rapamicina, siendo la variante colapsante una glomerulopatía que se asocia raramente con sirolimus. Por lo tanto consideramos que la reducción de la proteinuria a menos de la mitad del valor inicial, luego de los cambios en el tratamiento motivados por la histología renal (suspensión de rapamicina, y tratamiento de inducción con corticoides + micofenolato), no sería vinculable a la suspensión de sirolimus, sino más bien a los efectos del tratamiento de inducción instaurado para control de la GC de novo.
Se ha reportado en la literatura médica que la GC puede ser inducida por el uso de antraciclínicos, en especial la Doxorrubicina (Adriamicina) como en este caso, en el cual la proteinuria masiva se detectó a las cuatro semanas de terminado el último ciclo quimioterápico. Otros grupos también han descripto la variante colapsante causada por antraciclinas basados en una relación temporal con la noxa, como en nuestro paciente, pero siempre en el contexto de condiciones subyacentes predisponentes.
El pronóstico es malo para el injerto, con alta incidencia de ingreso a hemodiálisis antes de los dos años. El paciente presentado tuvo una evolución tórpida, debiendo reingresar a tratamiento dialítico a los siete meses de diagnosticarse la GC.
Si bien el deterioro de la función renal y la proteinuria podrían ser explicados por la GC como causa primordial, se analizaron los hallazgos histológicos en busca de indicios de un rechazo agudo humoral (RAH) (la primera causa de pérdida a largo plazo de un trasplante renal).
En busca de consenso, el grupo de Banff estableció en el año 2003, unos criterios histopatológicos diagnósticos del rechazo agudo humoral (RAH) que han sido modificados en posteriores reuniones del grupo.
El grupo de Colvin define en base a estudios previos, las características histológicas del RAH. Entre estos marcadores histológicos cabe destacar la necrosis fibrinoide, sea glomerular y/o arterial, ya que su presencia es casi patognomónica, a pesar de su baja incidencia en la biopsia y, además, indica un peor pronóstico del RAH.
Son necesarios tres criterios para hacer un diagnóstico definitivo de RAH:
Criterios histológicos (Neutrófilos en capilares glomerulares y peritubulares, Necrosis fibrinoide en pared arterial, Injuria tubular aguda)
C4d + en capilares peritubulares
Anticuerpos antidonante específicos +
Si existen criterios morfológicos indicativos y C4d+, pero falta la demostración de anticuerpos antidonantes debe informarse como sospechoso de RAH. En el caso de presentar signos histológicos sospechosos y evidencia de anticuerpos circulantes, pero ausencia de depósitos de C4d, debe considerarse como sospechoso o consistente con RAH.
La relación entre anticuerpos antidonante postrasplante y el pronóstico del injerto ha sido un tema de discusión clásico, liderado por P. Terasaki, ejemplificado con los resultados que obtuvo de un estudio de seguimiento de 4 años (2 ensayos prospectivos) donde demuestra una evidente relación entre anticuerpos anti HLA y MICA (antígeno de cadena A del complejo mayor de histocompatibilidad tipo I) asociados a la disfunción del injerto y la sobrevida del mismo.
También hay que mencionar a otros investigadores, quienes han contribuido en esta área, a saber: P. Halloran a comienzos de los años 90, describió la triada “disfunción del injerto más neutrófilos en capilares peritubulares (CPT) más la presencia de Ac antidonante”, como mecanismo humoral del rechazo. Feutch, en el año 1993, describe la importancia de los depósitos de C4d como marcador útil para el diagnóstico de RH. Trpkov y col, destacan marcadores histológicos como ser la vasculitis severa, la necrosis fibrinoide, glomerulitis, infartos, trombos en capilares, y PMN en CPT más presencia de Ac antidonante anti HLA clase I.
Es importante tener en cuenta que el RAH no siempre aparece como una entidad aislada, sino que puede coexistir con otras entidades, lo cual dificulta su diagnóstico. La clasificación de Banff incluye al RAH dentro de la categoría 2 (rechazo mediado por anticuerpos), pero considera que puede coincidir con otras tres categorías (rechazo bordeline, rechazo agudo celular y nefropatía crónica del injerto)
Volviendo a nuestro paciente y teniendo en cuenta estos criterios de Banff, no se observaron cambios histológicos agudos en capilares peritubulares (presencia de neutrófilos), ni en las arterias (ej. edema subendotelial) sugerentes de RAH, como así tampoco la presencia de C4d en capilares peritubulares.
Por esto, se descartó que la pérdida del injerto fuera relacionada a un RAH y se consideró innecesario realizar dosaje de anticuerpos antidonante específico.
No obstante, se vislumbran hallazgos histológicos más característicos de Rechazo Bordeline y Crónico (RC): vasculopatía crónica del injerto, la glomerulopatía del trasplante (GT) y la multilaminación de capilares peritubulares.
Conflicto de interés: Los autores declaran no poseer ningún interés comercial o asociativo que presente un conflicto de intereses con el trabajo presentado.
BIBLIOGRAFÍA
1) Allen UD. Clinical features and Diagnosis evaluation of post-transplant lymphoproliferative disease. En: Dharnidharka VR, Green M, Webber SA, eds. Post-transplant lymphoproliferative disorders. Heidelberg: Springer Verlag, c2010; p. 69-88.
2) Ashrafi F, Shahidi S, Ebrahimi Z, Mortazavi M. Outcome of rapamycin therapy for post-transplant-lymphoproliferative disorder after kidney transplantation: case series. Int J Hematol Oncol Stem Cell Res. 2015;9(1):26-32.
3) Bakker NA, Pruim J, de Graaf W, van Son WJ, van der Jagt EJ, van Imhoff GW. PTLD visualization by FDG-PET: improved detection of extranodal localizations. Am J Transplant. 2006;6(8):1984-5.
4) Bowden RA, Ljungman P, Snydman DR, eds. Transplant infections. 3rd ed. Philadelphia: Wolters Kluwer Health/Lippincott Williams & Wilkins, 2010.
5) Colvin RB. Antibody-mediated renal allograft rejection: diagnosis and pathogenesis. J Am Soc Nephrol. 2007;18(4):1046-56.
6) Ferreira H, Bustorff M, Santos J, Ferreira I, Sampaio S, Salomé I, et al. Post-transplant Lymphoproliferative Disorder: A Single-Center Experience. Transplant Proc. 2015;47(4):981-4.
7) Feucht HE. Complement C4d in graft capillaries -- the missing link in the recognition of humoral alloreactivity. Am J Transplant. 2003;3(6):646-52.
8) Gupta R, Sharma A, Mahanta PJ, Agarwal SK, Dinda AK. Focal and segmental glomerulosclerosis in renal allograft recipients: a clinico-pathologic study of 37 cases. Saudi J Kidney Dis Transpl. 2013;24(1):8-14.
9) Halloran PF, Wadgymar A, Ritchie S, Falk J, Solez K, Srinivasa NS. The significance of the anti-class I antibody response. I. Clinical and pathologic features of anti-class I-mediated rejection. Transplantation. 1990;49(1):85-91.
10) Sureshkumar KK, Dosani I, Jasnosz KM, Arora S. De Novo Collapsing Glomerulopathy: An Unusual Cause of Early Graft Failure following Kidney Transplantation. Case Rep Transplant. 2001;2001: 263970.
11) Kasiske BL, Kukla A, Thomas D, Wood Ives J, Snyder JJ, Qiu Y, et al. Lymphoproliferative disorders after adult kidney transplant: epidemiology and comparison of registry report with claims-based diagnoses. Am J Kidney Dis. 2011;58(6):971-80.
12) Letavernier E, Bruneval P, Mandet C, Duong Van Huyen JP, Péraldi MN, Helal I, et al. High sirolimus levels may induce focal segmental glomerulosclerosis de novo. Clin J Am Soc Nephrol. 2007;2(2):326-33.
13) Meehan SM, Pascual M, Williams WW, Tolkoff-Rubin N, Delmonico FL, et al. De novo collapsing glomerulopathy in renal allografts. Transplantation. 1998;65(9):1192-7.
14) Mohamed N, Goldstein J, Schiff J, John R. Collapsing glomerulopathy following anthracycline therapy. Am J Kidney Dis. 2013;61(5):778-81.
15) Mubarak M. Collapsing focal segmental glomerulosclerosis: Increasing the awareness. J Nephropathol. 2012;1(2):77-80.
16) Mucha K, Foroncewicz B, Ziarkiewicz-Wróblewska B, Krawczyk M, Lerut J, Paczek L. Post-transplant lymphoproliferative disorder in view of the new WHO classification: a more rational approach to a protean disease? Nephrol Dial Transplant. 2010;25(7):2089-98.
17) Serre JE, Michonneau D, Bachy E, Noël LH, Dubois V, Suberbielle C, et al. Maintaining calcineurin inhibition after the diagnosis of post-transplant lymphoproliferative disorder improves renal graft survival. Kidney Int. 2014;85(1):182-90.
18) Steven H. Swerdlow. Pathology. En: VR Dharnidharka, M Green, SA Webber, eds. Post-transplant lymphoproliferative disorders. Heidelberg: Springer Verlag, c2010; p. 89-104.
19) Stokes MB, Davis CL, Alpers CE. Collapsing glomerulopathy in renal allografts: a morphological pattern with diverse clinicopathologic associations. Am J Kidney Dis. 1999;33(4):658-66.
20) Tsai DE, Hardy CL, Tomaszewski JE, Kotloff RM, Oltoff KM, Somer BG, et al. Reduction in immunosuppression as initial therapy for posttransplant lymphoproliferative disorder: analysis of prognostic variables and long-term follow-up of 42 adult patients. Transplantation. 2001;71(8):1076-88.
21) Terasaki PI, Ozawa M, Castro R. Four-year follow-up of a prospective trial of HLA and MICA antibodies on kidney graft survival. Am J Transplant. 2007;7(2):408-15.
22) Trpkov K, Campbell P, Pazderka F, Cockfield S, Solez K, Halloran PF. Pathologic features of acute renal allograft rejection associated with donor-specific antibody, Analysis using the Banff grading schema. Transplantation. 1996;61(11):1586-92.
23) Zou Y, Stastny P, Süsal C, Döhler B, Opelz G. Antibodies against MICA antigens and kidney-transplant rejection. N Engl J Med. 2007;357(13):1293-300.
Cómo citar este artículo: Leguizamón L, Barbero P, Martinez L, Gutiérrez Avilés G, Sarzuri Marca H, Segovia F, Idiarte L. Paciente trasplantado renal con enfermedad linfoproliferativa post-trasplante (PTLD) tardía y glomerulopatía colapsante del injerto renal. Rev Nefrol Dial Traspl. 2016; 36(2):54-61.
Revista de Nefrología, Diálisis y Trasplante
ISSN 2346-8548 (electrónico) - ISSN 0326-3428 (impreso)
Gascón 88 (1181) Ciudad Autónoma de Buenos Aires, Argentina
Contacto: ban@renal.org.ar